Skip Menu
Call
Today
for a Free Consultation
4620 East Douglas, Suite 100, Wichita, KS 67208
(316) 263-0889
Home
About Us
Our Office
New Patients
Smile Gallery
Dental Videos
Testimonials
Our Doctors
Terra Pauly, DDS
Services
All on 4®
All on 6®
View All
Dental Health
Contact
Contact Us
Request Appointment
Smile Gallery
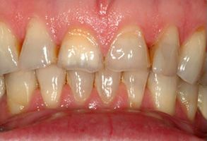
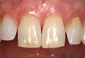
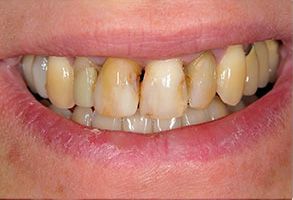
Before
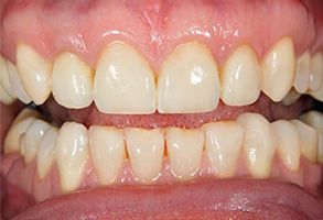
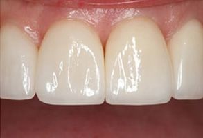
After
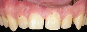
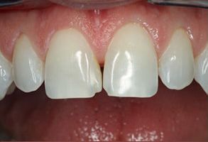
Before
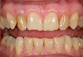
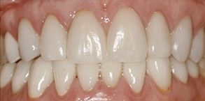
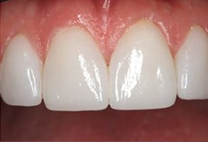
After
Before
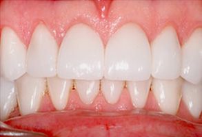
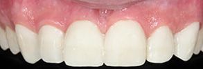
After
Before
After
Before
After
Before
After
Before
After
Before
After
Before
After
4620 East Douglas, Suite 100
Wichita, KS 67208
(316) 263-0889
Appointment
Contact Us